'Backward and upward and tilted': Spaceflight causes astronauts' brains to shift inside their skulls
Space apparently changes your frame of mind in more ways than one.
Breaking space news, the latest updates on rocket launches, skywatching events and more!
You are now subscribed
Your newsletter sign-up was successful
Want to add more newsletters?
Delivered daily
Daily Newsletter
Breaking space news, the latest updates on rocket launches, skywatching events and more!
Once a month
Watch This Space
Sign up to our monthly entertainment newsletter to keep up with all our coverage of the latest sci-fi and space movies, tv shows, games and books.
Once a week
Night Sky This Week
Discover this week's must-see night sky events, moon phases, and stunning astrophotos. Sign up for our skywatching newsletter and explore the universe with us!
Twice a month
Strange New Words
Space.com's Sci-Fi Reader's Club. Read a sci-fi short story every month and join a virtual community of fellow science fiction fans!
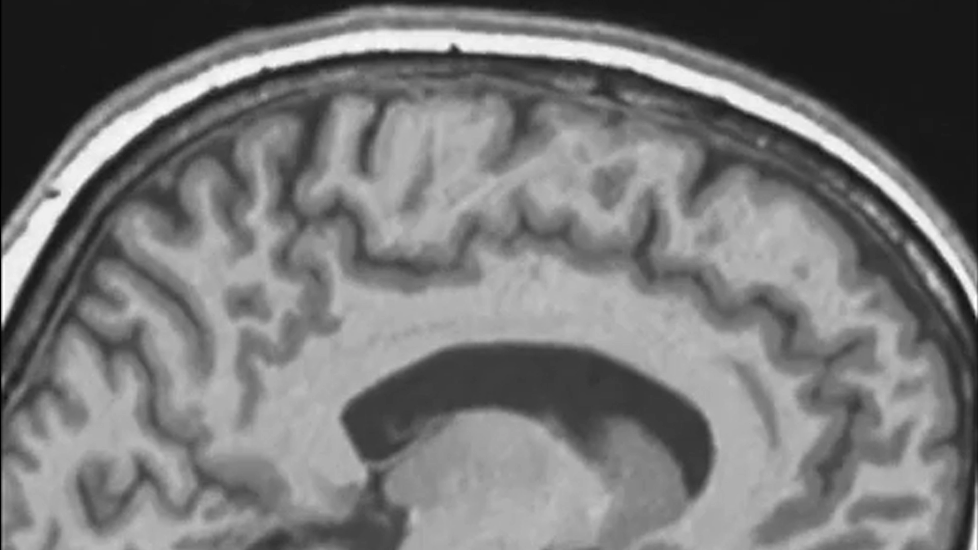
Spaceflight doesn't just change your perspective — it shifts the actual position of your brain inside your skull, a new study reports.
Many of us know about the famed "overview effect," which describes how a trip to the final frontier changes how astronauts view the world and their place in it. But the new study focused on the physiological rather than the philosophical.
Rachel Seidler and a team at the Massachusetts Institute of Technology (MIT) took MRI scans of the brains of 26 astronauts and 24 non-astronaut participants to determine what, if any, impacts prolonged spaceflight has on one of our body's most important organs.
Their study, published on Jan. 12, showed a consistent pattern of the brain shifting backward and upward, and rotating upward, after time in microgravity, with some positional changes still detectable months after astronauts return to Earth.
Scientists have long tracked how spaceflight affects the human body, but exactly what microgravity does to the brain's anatomy remains an ongoing question. This study analyzed data from 15 astronauts who provided MRI scans before and after their missions to space, and combined that with MRI data from another 11 astronauts and two dozen participants of a long-duration, head-down tilt bed rest "microgravity analog" experiment.
Rather than track whole-brain movement, the researchers divided the brain into 130 separate regions and examined each one individually. The regional analysis showed many areas with significant displacement across two spatial axes, pointing to widespread repositioning rather than a localized effect.
Across participants, the study found that brains tended to shift backward and upward, and rotated in pitch, indicating that microgravity is associated with a measurable change in how the brain sits inside the skull. The dataset included participants with a range of time-in-space histories, from short missions to long-duration stays, divided into groups of roughly two-week, six-month and one-year mission durations. It identified significant positional shifts across large portions of the brain, with some displacements measured as high as 2.52 millimeters (0.1 inches) in subjects with the most time in space.
Breaking space news, the latest updates on rocket launches, skywatching events and more!
When the researchers compared astronauts with the bed-rest participants, they found movement in broadly similar directions, but with key differences. Astronauts showed a stronger upward movement, while bed-rest participants showed a stronger backward component. Additionally, only a portion of the changes in brain shape observed after spaceflight were present in the bed rest group, and exactly how spaceflight affects individual brain regions remains unclear.
The authors say the comparison helps clarify what microgravity is doing to brain anatomy and highlights the limits of current simulation techniques.
The study also examined whether changes in certain brain regions correlated with differences in how astronauts performed after landing back on Earth. One thing that isn't immediately restored when someone returns from space is the inner ear's sense of direction, causing many astronauts to experience balance issues. The researchers found that displacement affecting sensory-related brain regions was correlated with larger declines in astronaut balance after spaceflight.
And, while astronauts normally find their footing within a week or so of their return, the physical shifts in their brains were found to persist for up to six months post spaceflight, underscoring, the study says, "the long-lasting effects of spaceflight on neuroanatomy."
The scientists note that their work faces constraints typical of spaceflight research, including limited sample sizes and tight imaging timelines, and recommend future studies with larger astronaut crews on a broad range of mission lengths to better understand how quickly brain shifts can begin, how they evolve and how that shapes recovery back on Earth.

Josh Dinner is the Staff Writer for Spaceflight at Space.com. He is a writer and photographer with a passion for science and space exploration, and has been working the space beat since 2016. Josh has covered the evolution of NASA's commercial spaceflight partnerships and crewed missions from the Space Coast, as well as NASA science missions and more. He also enjoys building 1:144-scale model rockets and human-flown spacecraft. Find some of Josh's launch photography on Instagram and his website, and follow him on X, where he mostly posts in haiku.
You must confirm your public display name before commenting
Please logout and then login again, you will then be prompted to enter your display name.
