News
Latest News

'Star Trek: Starfleet Academy': Paul Giamatti and Holly Hunter on beaming into the storied sci-fi franchise (interview)
By Jeff Spry published
'It felt really warm and welcoming. It was a lovely atmosphere the whole time.'

ISS astronaut medical evacuation latest news: Crew-11 astronauts prepare for SpaceX Dragon departure
By Tariq Malik, Mike Wall, Josh Dinner last updated
NASA is returning four astronauts to Earth early from the International Space Station due to a medical concern with one of the Crew-11 astronauts. Here's the latest news.

'Death by a thousand cuts': James Webb Space Telescope figures out how black hole murdered Pablo's Galaxy
By Robert Lea published
"It points to a slow starvation rather than a single dramatic death blow."

Viruses may be more powerful in the International Space Station's microgravity environment
By Kenna Hughes-Castleberry published
"Microgravity pushed evolution into corners of the phage we still don't fully understand"

Astronomers watch 2 supermassive black holes caught in a twisted dance with never-before-seen jet behavior
By Robert Lea published
"This result shows that the Event Horizon Telescope is not only useful for producing spectacular images, but can also be used to understand the physics that govern black hole jets."

This stunning Orion Nebula photo will make you want to grab a telescope this week
By Anthony Wood published
The Orion Nebula is the closest large star-forming region, located within the Milky Way just 1,500 light-years from Earth.

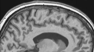
'Backward and upward and tilted': Spaceflight causes astronauts' brains to shift inside their skulls
By Josh Dinner published
Space apparently changes your frame of mind in more ways than one.

On this day in space: Jan. 13, 1978: NASA hires first female astronauts
By Hanneke Weitering last updated
On January 13, 1978, NASA selected its eighth and most diverse class of astronauts yet.

Rocket launch today: Is there a rocket launch and what time?
By Josh Dinner, Tariq Malik last updated
Follow Space.com's rocket launch blog for the latest on when the next rocket launch will be and how to follow it live.

ISS astronauts spy airglow and dwarf galaxy | Space photo of the day for Jan. 13, 2026
By Kenna Hughes-Castleberry published
Astronauts on the International Space Station were not only treated to a sight from Earth's atmosphere recently but also caught a glimpse of one of the Milky Way's nearest galactic neighbors.
Breaking space news, the latest updates on rocket launches, skywatching events and more!
